Updated 31 July 2020 at 11:30 IST
Two virus survivors get double lung transplants
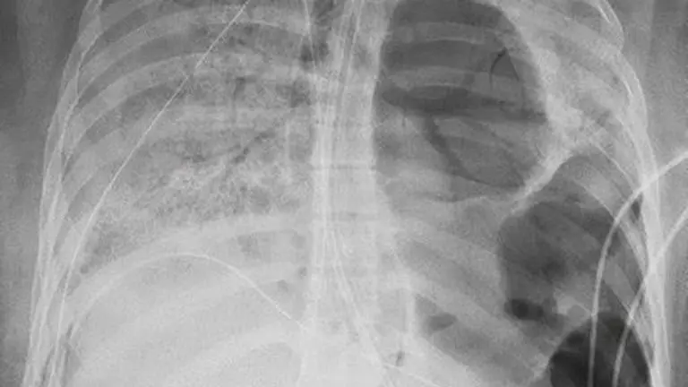
A young paralegal and a car mechanic received lifesaving double lung transplants in Chicago after COVID-19 destroyed their lungs.
- World News
- 1 min read

A young paralegal and a car mechanic received lifesaving double lung transplants in Chicago after COVID-19 destroyed their lungs.
Doctors at Northwestern Medicine in Chicago say COVID-19 caused severe lung failure in the patients, making transplant surgery their only option.
Mayra Ramirez, 28, and Brian Kuhns, 62, both spent weeks in the ICU on ventilators and life support machines.
They are now able to breathe on their own. They spoke at a news conference at the hospital on Thursday.
Advertisement
Ramirez's family was told to travel from their home in North Carolina to say goodbye. But by the time they arrived, the medical team was able to stabilize her, and doctors offered the option of a lung transplant.
Ramirez says she knows there's a family grieving their loved one and "I have that person's lungs and how lucky I was to have received it."
Advertisement
Kuhns thought the virus was a hoax until he contracted it. "This disease is not a joke," he told reporters, adding "It hit me like a lead slammer on my head. I was perfectly healthy. This thing took me down hard."
Published By : Associated Press Television News
Published On: 31 July 2020 at 11:30 IST